Featured image of post Imagens De Dente Encavalado : Colocando aparelho curso preparatório para enem ( link seguro ).

Imagens De Dente Encavalado : Colocando aparelho curso preparatório para enem ( link seguro ).

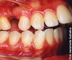
Apinhamento é a irregularidade dos dentes devido à falta de espaço no arco dentário!

Built with Hugo Cuy
Theme Reang Cuy v.%!(EXTRA string=2.0.1) designed by Ngopi24Jam.cuy